一、初次面诊
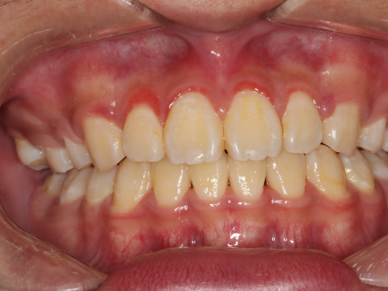
患者两周前出现刷牙出血,牙龈红肿。因牙龈出血,患者不敢刷牙,导致牙龈炎症逐渐加重,常伴有口臭,于是来我院就诊。经过检查患者因口腔卫生欠佳,刷牙方法不当以及刷牙次数少,口腔保健意识不够,长期以往,使牙龈上积累过多的细菌,导致牙龈发炎,从而使牙龈红肿出血。检查牙面上可见大量牙结石及菌斑堆积,诊断为牙龈出血、牙结石。

二、治疗经过
临床检查全口口腔卫生状况较差,视诊观察牙齿表面有牙菌斑和牙结石以及牙龈的颜色、状态。OHI-S=3,GI=2,牙龈轻度红肿,呈鲜红色,龈上结石(+),龈下牙石未探及,PD=2-5mm,GR=0mm,AL=0mm,TM=0。诊断为菌斑性龈炎。
诊断明确后与患者协商治疗手段,拟行龈上洁治术。全口牙行超声龈上洁治术,是用超声波洁治器在附着牙结石的牙面来回移动,利用超声波振碎牙结石,同时会有水雾不断喷出,将振碎的牙结石冲洗干净。对于炎症较重的还需配合抛光、脱敏、3%双氧水+生理盐水交替冲洗、止血治疗等。术后行口腔卫生宣教,教导患者培养良好的口腔卫生习惯,包括早晚正确刷牙、牙线、牙签的合理使用、定期的牙周检查及牙周支持治疗。
三、治疗效果
患者术后无牙龈不适,无明显疼痛感,1-2天后出血、破溃愈合,牙龈红肿逐渐消失。全口牙行超声龈上洁治术后一周牙龈红肿消退,牙龈色粉红,质地坚韧,探诊出血阴性。通过询问患者日常刷牙及维护牙齿的方法,发现患者已逐步养成良好的口腔卫生习惯,早晚正确刷牙,合理使用牙线和牙签。定期复诊,指导患者半年到一年需要常规洗一次牙。
四、注意事项
1、牙龈上洁治后1~2天牙龈表面有少许血丝属正常现象。牙龈上洁治后1星期内牙齿有少许酸软属正常现象,不要吃太冷或太热的食物,以免物理刺激牙本质的过敏现象加重。
2、指导患者正确的刷牙方式,牙刷尽量选择软毛牙刷,牙刷毛需要倾斜45度放在牙齿及牙龈的位置,这样可以有效地清除牙菌斑。牙龈刷出血的地方是因为牙龈炎造成的,出血的地方要好好刷,刷牙的幅度不要过大,不要超过一两颗牙齿的宽度。
3、牙龈上洁治后1周需要复诊评估牙龈炎症的消退程度。
五、个人感悟
牙龈炎是口腔疾病中治疗效果最好的之一。牙龈炎的疗效较理想,重要的是要防止疾病的复发。牙结石是牙周病发展的一个重要致病因素。不注意养成良好的口腔卫生习惯,即使彻底洁治后,牙结石很容易很快再次沉积在牙齿表面。因此,要持之以恒地保持好良好的口腔卫生习惯,认真刷牙。
刷牙是预防牙结石形成的一种简便而又行之有效的方法。牙结石的沉积是由少到多,逐渐形成的。经常刷牙可将刚刚开始沉积于牙面的牙垢、牙结石及时刷掉。另外,还有正确使用牙线、牙间隙刷等工具,定期口腔检查,定期洁牙等。
王鹏
副主任医师
唐加云
主任医师
张卫群
主任医师
李伟丽
副主任医师









