一、初次面诊
一个万里无云的下午,眉头紧锁的梅女士在家人的陪伴下来到我的诊室。经过沟通得知,梅女士2年前开始出现左侧髋部开始出现行走后疼痛,约行走数公里疼痛明显,上下楼梯、坐座位时明显,无畏寒、发热,无午后潮热,休息后症状可稍缓解,间断口服止痛药及中药对症处理,症状未见明显缓解。2022-02起左侧髋部疼痛等不适明显加重,行走时明显疼痛,行走约200米因右侧髋部疼痛需要休息。进一步了解,自发病以来,患者精神状态,体力情况,食欲食量和睡眠情况一般,体重无明显变化,二便正常。平素身体健康,否认疾病以及外伤史,无痢疾、疟疾、病毒性肝炎及结核等传染病史。我初步考虑为左股骨头坏死,还需做相关检查确认,遂收入院。
二、治疗经过
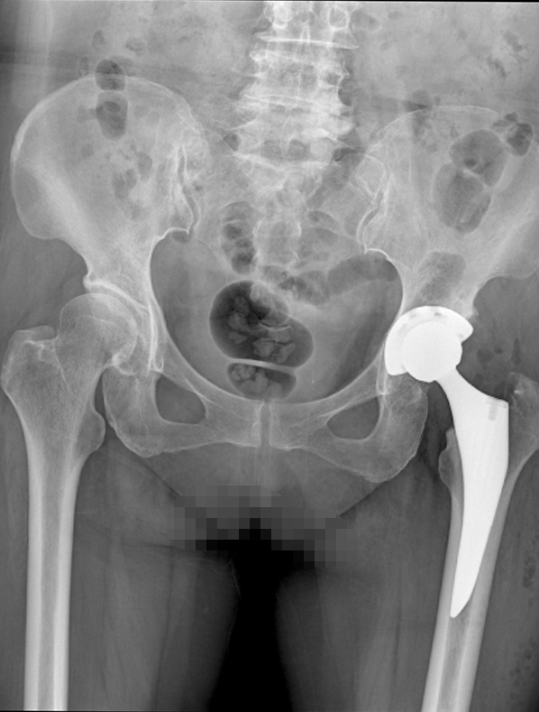
入院后,梅女士继续完善了专科检查、骨盆正位片和磁共振成像(MRI)等检查以明确诊断。我仔细为梅女士查体,左下肢明显短缩约2cm。左侧髋部色泽正常,皮温不高,双侧臀肌轻度萎缩。四肢无肿胀,无静脉曲张,左下肢肌肉轻度萎缩。双侧腹股沟区及髋部无明显压痛,左侧股骨大转子叩击痛(+),左侧足跟轴向叩击痛(-),左侧4字试验(+)。左髋主被动活动度:主被动屈曲95°,主被动过伸0°,主被动内收20°,主被动外展25°,主被动内旋25°、外旋25°;脊柱正常生理弯曲,腰椎棘突无叩击痛,椎旁肌无压痛,双侧直腿抬高试验(-)。骨盆正位片提示主动脉硬化,胸腰椎骨质增生。我考虑为左股骨头无菌性坏死并髋关节退行性骨关节病。继续MRI检查,结果提示右侧髋关节退行性变,双下肢不等长,双侧膝关节退行性变。再结合临床表现,可明确诊断为左侧股骨头无菌性坏死。
我仔细与梅女士沟通治疗方案,诊断明确,保守治疗差。本病的治疗原则是早发现、早诊断、早治疗。治疗开始越早,治疗难度越低、方法也相对更简单;治疗开始得越晚,效果也会越差,建议通过手术进行治疗。患者表示积极配合治疗,入院第4天,继续完善术前准备,梅女士心、肺、肝、肾功能可,常规检查未见明确手术禁忌症。入院第5天,全身麻醉下行左侧全髋关节置换术+髋臼造盖成形术+髋关节松解术+关节滑膜切除术+肌腱粘连松解术,术中见股骨头表面塌陷、变形、增生,髋关节软骨磨损,髋臼边缘骨赘形成。最后以皮肤钉间断缝合皮肤,敷料包扎切口。术毕。全程术野未见明显脓液脓苔或组织水肿。术后安返病房,予5%葡萄糖氯化钠补液、布洛芬镇痛、铝碳酸镁护胃、盐酸甲氧氯普胺注射液止吐、头孢他啶预防感染、补充白蛋白等对症支持治疗。术后第3天,经治疗症状基本得到缓解,且身体恢复良好,精神状态佳,遂通知其家属可办理出院手续。

三、治疗效果
手术顺利,麻醉满意。给予对症治疗后,术后第3天,梅女士未诉明显不适,手术切口轻微疼痛,已在双拐辅助下地行走。查体:生命体征平稳,切口敷料干洁,换药见切口甲级愈合,未拆皮肤钉。左髋稍肿胀,较前减轻,左下肢轻度肿胀较术后明显减轻,四肢无瘀斑,无尿血、牙龈出血等其他部位出血。双下肢感觉肌张力反射正常对称,双侧足背动脉搏动可触及。病理征(-),四肢无震颤。
治疗总费用大致在4万~5万左右。医保报销比例:50%~60%。
四、注意事项
1.服药期间如出现皮肤瘀斑、切口出血、渗出、局部肿胀加重、尿血、便血、呕血、咯血、牙龈出血、头痛腹痛及其他出血相关不适,立即停药并立即血管外科就诊。
2.出院后根据关节肿胀情况调整,2周后血管外科门诊复查双下肢静脉彩超并调整用药。出院后3天、1周复查监测血常规、血沉、CRP、降钙素原、肝功、肾功、电解质、pro-BNP、心肌酶谱等检验指标,根据结果决定后续治疗。
3.保持切口敷料干洁,每2-3天换药一次,如有渗湿及时换药,术后2-3周视情况于当地医院或我院拆线。
4.循序渐进进行患肢功能锻炼,加强踝泵运动等物理预防,出院后双拐辅助行走6周,避免摔倒。术后6个月内避免右髋屈曲超过90°,内收过中线,外旋,后伸及其他容易导致脱位的动作。
五、个人感悟
髋关节发育不良是一组较常见的髋关节畸形疾病。在患者出生前或出生后,其股骨头在关节囊内与髋臼的正常关系发生了异常改变,以致他们的髋关节不能正常发育。这个概念中,包含着髋臼和股骨近端的发育异常,以及髋关节不稳定。治疗方式有一般治疗、手术治疗和辅助的中医治疗,治疗方式的选择与患者年龄及患病情况有关,应合理选择治疗方案,以达到最优效果。
本文的主人公因左侧髋关节痛伴活动受限2年,加重4个月来医院就诊,在门诊梅女士积极配合医生,经过一系列临床检查和医生判断,诊断为左侧股骨头无菌性坏死。经左侧全髋关节置换术手术治疗后明显好转,同时嘱咐患者规范服药,定期复查,循序渐进进行患肢功能锻炼,加强踝泵运动等物理预防。
孙淑建
副主任医师
刘洪业
副主任医师
袁勋
主治医师
孙勇
副主任医师








